Are you embarrassed about your smile? Fortunately, Dentistry at Vitality Health uses advanced systems and technology for our customers in Unionville, Markham, Vaughan, Richmond Hill, and Whitchurch-Stouffville, ON to help you achieve the beautiful smile that you deserve. It really doesn’t matter what issue you have with your smile, we have the experience, software, and technology to make sure your smile is just the way you want it. It doesn’t matter if you have teeth that are discolored, misshapen, gapped, or overcrowded, we have the means to make you beam brightly with a flawless smile!
Improve your Smile with Dentistry at Vitality Health
Dentistry at Vitality Health has helped countless customers to improve their smiles and we can help you as well to achieve a radiant smile. If you have missing teeth, those can be replaced with our advanced computer-guided implant process. We have a comprehensive process to make sure your perfect smile is on the way, without feeling too much pain during the procedure thanks to our advanced computer-guided technology. The initial step involves finding the best treatment for your situation. We can help you figure out if you need veneers, crowns, or even a full bite reconstruction.
Implants, Whitening, And Much More
After the initial consultation with Dentistry at Vitality Health, we can simulate what your new smile will look like with our advanced smile design software. Once you confirm the smile that you want, we’ll prepare your teeth so they are ready for permanent veneers or crowns. During this process, your comfort is our priority. With our advanced techniques, we can ensure you feel minimal pain when we have to remove small amounts of enamel. Once we have the blueprints for your new permanent crowns or veneers, we’ll create temporary ones until your permanent replacements are ready. Once those are ready, we’ll make sure to bond your new replacements in place and we know you’ll love your new smile! If you are interested in going for a new smile with Dentistry at Vitality Health, give us a call today at 647-955-2353 for a complimentary consultation.
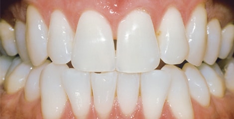
Your smile can be improved in a number of ways. Invisalign can straighten teeth, close gaps, and align your bite by gently guiding teeth into their proper position. Moving teeth gradually using clear customized trays, will correct your smile with as little discomfort as possible and ensure long-lasting results. Our dental team will closely monitor your progress and may recommend a permanent or removable retainer to preserve your radiant new smile.
Call or email us to schedule your complimentary, no-obligation consultation.
As early adopters of the latest in dental technology, Vitality Dentistry offers more accurate, comprehensive, and quick service. That means a positive experience and better treatment for you. Our orthodontic patients benefit from top-of-the-line equipment. A wireless 3D scanner means exceptionally accurate impressions of your teeth are taken without goo-filled trays. Modern Sterilizers closely monitor the sterilization cycle to ensure tools are cleaned as intended. Advanced Treatment Centres are optimally designed to provide patients with comfort and our team with integrated and ergonomic access to the tools they need. Ask our staff about our in-house services and how they can help put a smile on your face.
Your smile can be improved in a number of ways. Braces can straighten teeth, close gaps, and align your bite by gently guiding teeth into their proper position. Moving teeth gradually will correct your smile with as little discomfort as possible and ensure long-lasting results. Our dental team will closely monitor your progress and may recommend a permanent or removable retainer to preserve your radiant new smile.


