
Focused on Delivering Exceptional Value to Our Patients
The Digital Dental Experience means greater accuracy, better imaging, faster service and overall better treatment for you, our patient.
3D CBCT Digital Imaging
Better imaging. You’ve probably heard the saying that a picture is worth a thousand words, well, a 3D picture is worth ten thousand words and can be priceless in your treatment. Using our onsite Sirona 3D Cone Beam CT Scanner, we can see your teeth, roots, jaw bone, nerves and any infection from an infinite number of angles. For full arches or even a single implant, the 3D x-ray is essential for optimal treatment and perfect placement of the implant and final solution.
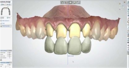
Intraoral digital optical scanners replace the need to take traditional dental impressions (with the gooey putty like material) for orthodontics, crowns, bridges, veneers and implants. They capture thousands of images per second and combine to form an accurate 3D model of your teeth and gums. Over 40% of patients surveyed indicated that they had some degree of gagging when having impressions taken using traditional materials and trays. Intraoral scanners need no trays or gooey impression material which almost completely eliminates the patient’s gag reflex. If you do feel uncomfortable, the technician can stop the process, give you a break for a few minutes and then continue without having to start over. Some patients resist having treatment completed because of their gag reflex; with this new equipment, they can relax and we can get exceptional quality imaging (digital impressions).
We never want to lose the human touch in our practice, but when it comes to down to microns, technology is superior to the human eye. Not only is this technology more precise, but there’s a reduced margin of error and no degradation caused by repeated copying. Your restorations are designed directly on the first generation images.
Even though we were confident that our previous sterilization systems met or exceeded industry standards and regulations, we’ve now taken everything in our sterilization system to the next level. Our new sterilization center includes custom designed software that monitors all sterilization processes and collects all data from ‘smart” sterilizers generating reports that help us to verify that all required processes and protocols are met. We strive for the highest standards of sterilization for your (and our) protection and peace of mind.
Digital Dentistry has transformed all the services offered by dentists that incorporate this technology including family, cosmetic and implants.
However, dental implants have possibly benefited the most from digital dentistry with the introduction of computer-guided dental implants.
- The precision and accuracy has dramatically improved
- The pain, swelling, risk of post-op infection, bleeding and bruising is drastically reduced.
- The recovery period is quick; some patients return to work almost immediately.
Our onsite Computer Aided Design/Computer Aided Manufacturing (CAD/CAM) technology enables us to create a new crown for our patients in under an hour. Traditional methods require you to come back for the final restoration a couple of weeks later, while wearing a temporary crown in the interim. However, with our CEREC technology, it’s entirely possible for you to come in to our office needing a crown for an implant or a root canal treated or broken tooth, and leave the office the same day with your new crown!
Higher accuracy, better imaging, faster service and overall better treatment for you, our patient.We were one of the first in North America to adopt this technology in 1995 and we have used it extensively since then!
Providing our in-house clinicians with the most advanced technology and equipment in the dental industry means your results are much more accurate than with traditional methods. The range of error in our process is so small, it’s invisible to the naked eye. The process itself has also been streamlined with as few disruptions as possible to minimize the chance for human error. This level of accuracy and precision means you stay comfortable, recover quickly and enjoy the long term benefits of digital dentistry.


